LESION DU LIGAMENT CROISE ANTERIEUR DE L'ENFANT

RUPTURE DU LCA ET FRACTURE DU MASSIF DES EPINES TIBIALES

 

Dr Jérôme Lemoine

Chirurgien

 

Les lésions ligamentaires du genou sont fréquentes chez l'enfant. Le plus souvent bénignes, elles représentent près des deux tiers des traumatismes du genou, les fractures plus d'un quart et les plaies articulaires environ 10% des cas.

 

Les fractures du massif des épines tibiales sont les fractures du genou les plus fréquentes chez l'enfant (plus de 25%). Il s'agit de lésions ostéochondrales, c'est à dire touchant un fragment osseux recouvert de cartilage. Ce fragment a la particularité de supporter l'attache tibiale du ligament croisé antérieur. Il s'agit donc d'un équivalent de rupture du ligament croisé antérieur par arrachement de son insertion tibiale. Les lésions ligamentaires graves avec rupture vraie du ligament croisé antérieur sont en revanche beaucoup plus rares et surtout observées chez l'adolescent, à la fin de la croissance quand l'articulation se rapproche de celle de l'adulte.

1- Fracture du massif des épines tibiales :

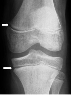
La fracture du massif des épines tibiales intéresse habituellement la portion comprise entre les deux surfaces articulaires des plateaux tibiaux. Si le fragment est volumineux une petite partie de la glène peut être intéressée. Cette fracture constitue un équivalent d'entorse grave du ligament croisé antérieur et elle est beaucoup plus fréquente que l'entorse vraie chez l'enfant.

Différentes classifications anatomiques ont été proposées. C'est en fait l'existence ou non d'un déplacement qui est l'élément le plus important à définir puisque le traitement doit avant tout veiller à obtenir la réduction anatomique du ou des fragments fracturés.

L'âge de survenue de cette lésion est habituellement supérieur à 10 ans bien que quelques cas soient décrits chez des enfants plus jeunes (à partir de 6 ans). Le traumatisme est habituellement violent de sorte que cette lésion est volontiers rencontrée en traumatologie routière ou sportive. L'hémarthrose est généralement de grande abondance volontiers sous tension. Les radiographies standard du genou de face et de profil suffisent à mettre en évidence la fracture et à en apprécier le déplacement. Le volume réel du ou des fragments est du fait du caractère ostéochondral de la fracture toujours sous-estimé.

Le traitement orthopédique consiste en une immobilisation du genou en extension pour une durée de 4 à 6 semaines.

La technique utilisée pour le traitement chirurgical est le laçage soit classique par une voie d'abord para-patellaire interne soit arthroscopique. Deux tunnels transosseux sont réalisés. L'un va de la tubérosité tibiale antérieure à la région la plus postérieure du massif fracturé. L'autre part à quelques millimètres du même point mais arrive dans la partie la plus intérieure du massif fracturé. Puis des fils de gros calibre à résorption lente sont passés en transosseux dans le massif de l'épine tibiale sans avoir d'effet de striction sur le ligament croisé antérieur tout en le remettant en tension. Les fils sont noués en avant sur la tubérosité tibiale antérieure. Une immobilisation de 4 à 6 semaines est réalisée. Chez l'adolescent un vissage direct peut parfois être envisagé à condition de pouvoir positionner la vis de telle manière qu'elle ne lèse pas le cartilage de croissance.

Le traitement orthopédique est préconisé pour les fractures non ou peu déplacées. Les fractures déplacées seront en revanche traitées chirurgicalement. Une surveillance radiologique est importante à la recherche d'un déplacement secondaire.

Des séquelles des fractures du massif des épines tibiales sont possibles car il s'agit d'un traumatisme complexe sur une articulation en croissance. On relève en plus des complications habituelles de la chirurgie parfois une laxité résiduelle, un déplacement secondaire de fractures apparemment non déplacées ou relativement bien réduites, voire même des difficultés de consolidation.

 

2- Rupture du ligament croisé antérieur :

 

Les ruptures du ligament croisé antérieur sont aussi rares chez l'enfant à cartilage de croissance perméable qu'elles sont fréquentes chez l'adulte.

Le diagnostic repose sur l'examen clinique et sur l'imagerie. Le bilan radiographique standard élimine une fracture du massif des épines tibiales, beaucoup plus fréquente et l'IRM permet le diagnostic lésionnel en appréciant des lésions associées (contusion osseuse, lésions cartilagineuses, lésions méniscales ou atteinte des ligaments latéraux).

Le traitement orthopédique, c'est-à-dire l'immobilisation ne restitue pas une bonne stabilité du genou. Il ne permet pas une reprise sans risque des sports de pivot (tennis, ski) et surtout des sports de pivot contact (sport collectifs, arts martiaux). Les réparations par suture directe du ligament rompu n'ont pas non plus donné de bons résultats. L'instabilité clinique reste observée à long terme et l'instabilité fonctionnelle est fréquente. Les risques de lésion méniscale et de lésion cartilagineuse à moyen sont important compte tenu de la forte utilisation du genou chez ces patients jeunes très souvent sportifs. Par ailleurs plus la durée d'utilisation du genou sans ligament croisé antérieur est longue et intensive plus le risque d'arthrose est important à long terme.

Le traitement des ruptures du ligament croisé antérieur de l'enfant doit donc être chirurgical. Le problème est qu'il y a une incompatibilité relative entre les techniques de réparation actuelles et les cartilages de croissance. En effet le genou réalise les 2/3 de la croissance du membre inférieur. Le cartilage de croissance fémoral inférieur fournit en moyenne 20 cm de la longueur totale du fémur de l'adulte. Celui de l'extrémité supérieure du tibia apporte lui 12 cm. Ainsi les traumatismes des cartilages de croissance du genou peuvent entraîner des conséquences graves soit sous la forme d'une inégalité de longueur soit plus souvent sous celle d'une déviation axiale. Cela reste vrai chez le grand enfant car le genou allonge le membre inférieur après 10 ans de 6 centimètres chez la fille et de 10 centimètres chez le garçon. Même si certaines équipes interviennent en pleine croissance, les risques de complication ne sont pas négligeables. La chirurgie doit donc s'adapter à ce problème et attendre la fin de la croissance est l'attitude la plus sage.

Les cartilages de croissance du genou vus de face en radiographie

Les cartilages de croissance du genou vus de face et de profil en IRM

Chez l'enfant l'attitude actuellement recommandée en cas de rupture récente du ligament croisé antérieur est le traitement orthopédique. Une immobilisation temporaire est prescrite puis la rééducation est programmée. Ce traitement permet comme chez l'adulte de reprendre une vie normale et de pratiquer des sports dans l'axe (vélo, natation et footing). Le sport à l'école doit être interdit car il ne se limite pas aux seuls sports dans l'axe. Une information claire doit être donnée aux parents et à l'enfant. Secondairement à la fin de la croissance en fonction des impératifs scolaires le traitement de réparation du ligament croisé antérieur sera programmé. Il s'agira d'une ligamentoplastie de type droit interne demi tendineux DIDT comme chez l'adulte. Ce traitement chirurgical permettra une reprise de toutes les activités sportives six mois après l'intervention.

 

 

Retour à la page LCA